Center for Medical Image Science and Visualization - CMIV


An international interdisciplinary research center.

In the heart of Linköping University, where academia, healthcare and industry converge, a unique environment has emerged – the Center for Medical Image Science and Visualization (CMIV). This is where the healthcare of the future is shaped through research that pushes the boundaries of what we thought was possible.

CMIV was born out of a vision: having scientists from medicine, technology and science work side by side to solve the most complex challenges in healthcare. This creative meeting ground is where clinical needs are transformed into research questions, and scientific breakthroughs become solutions that make a difference for patients. The combination of technological excellence, clinical expertise and close partnerships with Region Östergötland and the global medical technology company Sectra makes CMIV an international model for how research can change healthcare in practice.

An integral part of Linköping University, CMIV has a scientific council composed of leading researchers, and a dedicated core team that take ideas from concept to clinical application. Its research spans from advanced image analysis and AI-driven diagnostics to interactive 3D visualisation and digital twins – always with the aim of deepening the understanding of the human body and advancing precision healthcare.

Every year, CMIV highlights its most pioneering initiatives as flagship projects – powerful examples of the centre’s scientific excellence, innovative strength and societal impact. These initiatives showcase the breadth, depth and interdisciplinary power that makes CMIV a driving force in developing the medicine of the future.

CMIV is more than a research centre – it is an arena where ideas become breakthroughs, where knowledge takes the step from theory to clinical settings, and where the future of healthcare is being shaped today.

120 researchers

from all over the world.

40 PhD students

who run their own research school.

90 thesis

which will affect future care.

Ongoing at CMIV

CMIV 25 years - Anders Persson talks about the journey.

CMIV is celebrating its 25th anniversary and director Anders Persson takes us on a journey to see how it all began, about the meeting with Göran Persson and why the coffee room is so important at CMIV.

Currently, the video is only available in Swedish. English subtitles will be added very soon.

Calendar events

News

CMIV's MR scanner Philips 3T

06 October 2025

From inside the body to the future of healthcare – 25 years of CMIV

25 years ago, an idea was born in Linköping: to unite research, healthcare, and industry in developing the medical tools of the future. Two years later, that vision became reality when CMIV was founded and its operations began.

Person (Twan Bakker) standing infront of an MRI-machine.

24 September 2025

Visualisation of blood flow sharpens artificial heart

Using magnetic cameras, researchers at LiU have examined blood flow in an artificial heart in real time. The results make it possible to design the heart in a way to reduce the risk of blood clots and red blood cells breakdown.

Demonstration of MR elastography.

17 June 2025

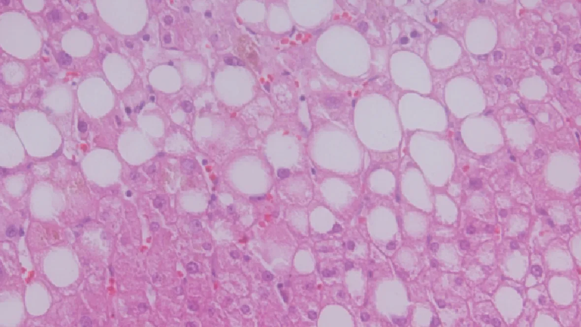
Fatty liver – but not liver damage – common in type 2 diabetes

Six out of ten people with type 2 diabetes had fatty liver in a new study. Of these, only a small percentage had developed more severe liver disease. Type 2 diabetes in combination with obesity is linked to a greater risk.

Research at CMIV

CMIV’s flagship projects exemplify the centre’s scientific excellence and societal impact. These projects are nominated and selected by CMIV’s Scientific Council based on their level of innovation, clinical relevance, and strength of collaboration. By designating them as flagships, we aim to highlight groundbreaking research initiatives and showcase the breadth and depth of CMIV’s contribution to the healthcare of the future.
Photo of part of the research group in front of the new photon counting detector comuputed tomography

Advanced CT Exams for Heart and Vessels

This flagship project combines mainly coronary artery morphology and cardiac function research with CT at CMIV.

Researchers around a computer.

AIDA

Analytic Imaging Diagnostics Arena (AIDA) is a national arena for research and innovation on analytic image-based diagnostics.

Two researchers are looking at a laptop

Effects of rTMS on alcohol use

Craving alcohol and an impaired ability to stop drinking despite adverse consequences are key features of alcohol addiction. This project aims to find a noninvasive brain stimulation method that can be used as treatment for addiction.

Affiliation of researchers and project applications

Affiliation of Researchers

The scientists that do research at CMIV are affiliated CMIV researchers. If you want to do research at CMIV you can apply for affiliation. Contact Maria Kvist and fill in the researcher application form. The scientific council will handle the application on the next meeting but Maria can provide a preliminary answer if all information is included in the form.

We also encourage you to enroll your PhD students in the CMIV research school.

CMIV Project Application

Before you begin your research at CMIV you need to have an approved CMIV project with a CMIV project number. The number is used for booking and billing and is important for the organization to run smoothly. To get your project approved and to receive a project number please fill in the administrative project application for MR or CT found below and send it to Maria Kvist. The scientific council will process the application at the next meeting but Maria Kvist can give a preliminary answer if the form is filled in correctly.

Administrative project application - MR

Administrative project application - CT

More information about CMIV