Cellsignalering i inflammation och cancer

Cell signaling in inflammation and cancer.
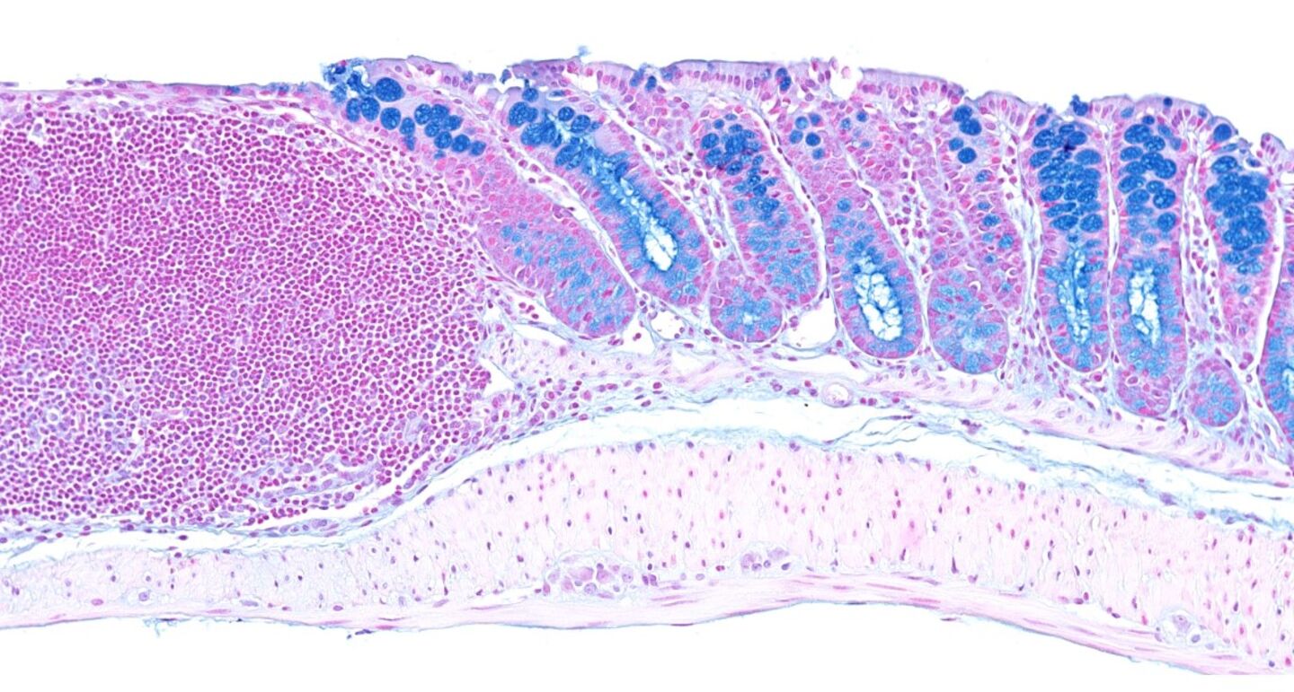
Färgning med Alcian Blue/Neutralrött av den distala delen av musens tjocktarm. Mucinet i bägarcellerna (gobletceller) är blåfärgat. Ett stort lymfoidaggregat kan ses till vänster.

Alla celler i en organism kommunicerar med varandra och sin omgivning genom ett samordnat signalsystem. Genom att studera de molekylära mekanismer som styr det cellulära beslutsfattandet kan vi förutsäga och kontrollera vad som sker i enskilda celler och komplexa vävnader.


Cellsignaleringen kontrollerar alla skeenden av livet, från tidig utveckling till vävnadshomeostas och regenerering. Ett omfattande nätverk av signaleringsvägar kontrollerar varje enskild cell. Tack vare detta komplexa nätverk är det möjligt för en organism att på ett dynamiskt sätt reagera på förändringar i miljön, såsom vid skada eller infektion.[Figure caption: Interaction of transcription factor FOXB2 (red) with beta-catenin (green) in epithelial cells.]Figure caption: Interaction of transcription factor FOXB2 (red) with beta-catenin (green) in epithelial cells Foto Stefan Koch

Dock kan denna komplexitet även utgöra en akilleshäl, eftersom en okontrollerad cellsignalering kan förorsaka stor skada. Vid till exempel allergier och autoimmuna sjukdomar reagerar immunsystemet fel och vänder sig mot sin egen värd med ibland förödande konsekvenser. På liknande sätt är okontrollerad celldelning en underliggande orsak till många större sjukdomar, i synnerhet cancer.


Forskargrupp

Organisation