Fotografi av Stefan Koch

Stefan Koch

Biträdande professor

Jag studerar hur cellsignaleringen formar vävnadsskador och läkning vid kroniska inflammatoriska tarmsjukdomar

Molekylär cellsignalering

Hur kommunicerar celler och hur kan vi påverka kommunikationen för att bota vanliga sjukdomar?

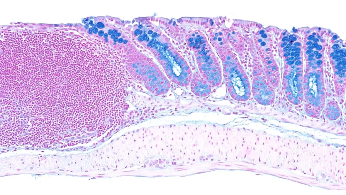
Alla celler reagerar och agerar utifrån den information som de får från sin omgivning. Till exempel kommer celler vid ett sår ingripa och reparera vävnaden för att sedan återgå till viloläge. Felriktade ingripanden kan däremot ge upphov till många av våra vanliga sjukdomar, såsom autoimmuna sjukdomar.

Min grupp försöker förstå de molekylära principerna av det komplexa signaleringsnätverket som finns i cellerna för att hitta nya behandlingsalternativ för kroniska inflammatoriska sjukdomar.

Publikationer

2026

Diana Atanasova, Ali Kusay, Lavanya Moparthi, Stefan Koch, Mathias Haarhaus, Sonoko Narisawa, Jose Luis Millan, Eva Landberg, Per Magnusson (2026) N-linked glycosylation plays an essential role in the stability and function of tissue-nonspecific alkaline phosphatase Journal of Biological Chemistry, Vol. 302, Artikel 111092 (Artikel i tidskrift) Vidare till DOI

2025

Amaia Jauregi Miguel, Simon Söderholm, Tamina Weiss, Anna Nordin, Valeria Ghezzi, Salome M. Brutsch, Pierfrancesco Pagella, Yorick van de Grift, Gianluca Zambanini, Jacopo Ulisse, Alessandro Mattia, Ruslan Deviatiiarov, Elena Faustini, Lavanya Moparthi, Wenjing Zhong, Bergthor Björnsson, Per A Sandström, Erik Lundqvist, Francisca Lottersberger, Stefan Koch, Andreas E. Moor, Xiao-Feng Sun, Eleonore von Castelmur, Guojun Shengo, Claudio Cantù (2025) The developmental factor TBX3 engages with the Wnt/ß-catenin transcriptional complex in colorectal cancer to regulate metastasis genes Proceedings of the National Academy of Sciences of the United States of America, Vol. 122, Artikel 2419691122 (Artikel i tidskrift) Vidare till DOI
Stefan Koch (2025) The transcription factor FOXQ1 in cancer Cancer Metastasis Review, Vol. 44, Artikel 22 (Artikel, forskningsöversikt) Vidare till DOI

Forskning

Organisation