26 april 2024

AI gör det möjligt att snabbt och noga identifiera vilket område som ska strålbehandlas vid behandling av cancertumörer. Men det råder brist på medicinska data att träna AI-modeller med. Försök pågår att träna dem med så kallade syntetiska medicinska bilder.

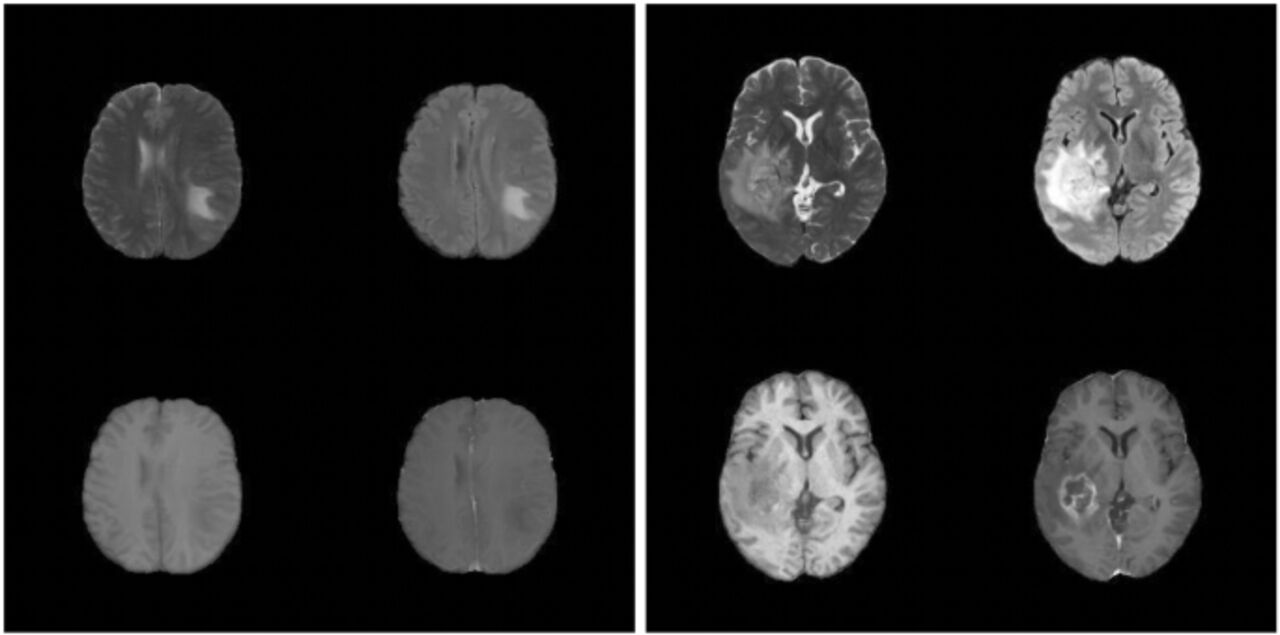
Bilden bestär av två delar: Fyra snittbilder av en hjärna på ena sidan och fyra snittbilder av en annan hjärna på andra sidan
En av dessa två bilder är riktig och en är syntetisk. Vilken tror du är syntetisk?*  

För att använda strålbehandling på en patient med en eller flera cancertumörer är det viktigt att veta exakt var tumörerna är lokaliserade. Cancerläkare, så kallade onkologer, behöver också ta hänsyn till riskorgan, vilket är vävnad som ligger i anslutning till tumören. Genom att precisera exakt område kan strålningen slå ut tumörvävnaden utan att skada viktig intilliggande vävnad. För att lokalisera tumör och riskorgan används en magnetkamera för att samla in olika typer av bilder. Inför strålterapi måste en strålonkolog ofta för hand rita ut tumören och riskorganen i dessa bilder, vilket kan ta timmar av onkologens tid per patient. Genom att i stället använda sig av artificiell intelligens, AI, kan alla områden bli utritade per automatik och därmed spara många timmar i sjukvården.

Viktigt med många bilder

AI-modellen lärs upp genom att träna på en stor mängd medicinska bilder, där strålonkologens utritningar används som facit. Det är viktigt att den stora mängden data som används representerar så stor andel av befolkningen som möjligt, för att modellerna ska kunna användas på alla patienter. Dock råder det brist på medicinska bilder och medicinsk information att träna upp AI med, eftersom det finns flera juridiska aspekter att ta hänsyn till. Det krävs bland annat etiskt godkännande när sådan känslig information ska delas för forskning.

Generera bilder för att få stor mängd bilder

I en artikel publicerad i tidskriften Scientific Data beskriver LiU-forskare hur de utvärderar metoden att istället generera bilder att träna AI-modeller med. Sådana bilder kallas syntetiska bilder.

– Syntetiska bilder kan vara lättare att dela med andra forskare. Eftersom sådana bilder inte hör till en specifik person är inte GDPR applicerbart, säger biträdande professor Anders Eklund.

Porträtt på tre forskare
Biträdande professor Anders Eklund vid Institutionen för medicinsk teknik (IMT) och Institutionen för datavetenskap (IDA) undersöker tillsammans med postdoktor Muhammad Usman Akbar (IMT) möjligheten att generera så kallade syntetiska bilder att träna AI-modeller med. Neuroradiologen Ida Blystad har bedömt de syntetiska bilderna. Hon är också adjungerad universitetslektor vid Institutionen för hälsa, medicin och vård (HMV).

Forskarna skapade de syntetiska bilderna utifrån en öppen samling av data som kallas BraTS. BraTS innefattar bilder och utritade tumörer för hjärntumörpatienter från en mängd olika sjukhus. Eftersom bilderna bygger på öppen data har forskargruppen kunnat dela vidare de syntetiska på AIDA (Analytic Imaging Diagnostics Arena) data hub, så att andra forskare också kan använda dessa bilder.

Berzelius hjälpte dem att spara år av väntetid

Superdatorn Berzelius.
Superdatorn Berzelius, en av världens snabbaste datorer.Fotograf: Thor Balkhed
Anders Eklunds forskningsgrupp har stor hjälp av superdatorn Berzelius på Nationellt superdatorcentrum (NSC) vid Linköpings universitet. För att skapa och utvärdera syntetiska magnetkamerabilder på hjärntumörer har forskarna använt Berzelius effektivt. Skulle de istället använt en vanlig kraftfull dator skulle samma jobb tagit mer än fem år.

Forskargruppen jämför resultatet från AI-modeller tränade med syntetiskt framställda bilder med resultatet från AI-modeller tränade med riktiga magnetkamerabilder på patienters hjärntumörer.

– En utmaning som kvarstår är om vi har för få ursprungliga medicinska bilder för att träna modeller att generera syntetiska bilder. Vi har sett att de syntetiska bilderna i dessa fall kan bli för lika de riktiga bilderna och sådana bilder vill man inte dela, säger Anders Eklund.

Positivt resultat

Det återstår också att reda ut de exakta juridiska villkoren för att kunna dela syntetiska bilder. I övrigt är resultaten goda. De visar att syntetiska medicinska bilder kan vara ett alternativ för att enklare kunna dela data och därmed utveckla AI-modeller med medicinsk tillämpning.

*Rätt svar på bildfrågan i översta bilden finns i figur 5 i forskningsartikeln på nature.com

Datasetet med de syntetiska bilderna som forskargruppen delat vidare

Fler exempel på syntetiska bilder

Om projektet

Forskningsprojektet ASSIST

Biträdande professor Anders Eklund vid Institutionen för medicinsk teknik (IMT) och Institutionen för datavetenskap (IDA) driver forskningsprojektet ASSIST tillsammans med biträdande professor Evren Özarslan (IMT). Tillsammans med postdoktor Muhammad Usman Akbar (IMT) undersöker Anders Eklund möjligheten att generera så kallade syntetiska bilder att träna AI-modeller med.

Utvärderingen av de syntetiska bilderna har skett i samarbete med företaget Eigenvision och Region Östergötland. Samarbetet underlättas av CMIV, Centrum för medicinsk bildvetenskap och visualisering, där bland annat läkare och ingenjörer forskar tvärvetenskapligt. Neuroradiologen Ida Blystad har bedömt de syntetiska bilderna.

Kontakt

Forskningsverksamhet

Mer om artificiell intelligens vid LiU

Senaste nytt från LiU

Den första maskinen som användes för att analysera torkning med torr luft.

Nobelprisbelönad teknik torkar spannmål – utan värme

Nobelprisbelönad teknik används nu i svenskt lantbruk. På Hasta Gård har försök visat att spannmål kan torkas utan värme och med betydligt mindre energi. Forskningen bedrivs inom ett innovationsprojekt där bland annat Agtech Sweden vid LiU medverkar.

Äldre man och ett litet barn skrattar mot varandra.

Mannens livsstil kan påverka barnbarnens hälsa

Kost, rökning och infektioner bidrar till ett slags biologiskt minne som kan föras över till kommande barn. LiU-forskare har i en översiktsartikel lagt fram en teori om pappans bidrag till sina ättlingars skydd mot infektioner.

Lisa Guntram utanför förlossningen på universitetssjukhuset i Linköping.

Kvinnor brottas med normer efter förlossningsbristning

Normen säger att en kvinna snabbt ska bli aktiv igen efter att ha fött sitt barn. Men efter en andra gradens förlossningsbristning kan det vara omöjligt. I en ny studie berättar kvinnor om frustration när förväntningarna krockar med verkligheten.